CASE
18-04-30 | 상악동거상술

본문

 

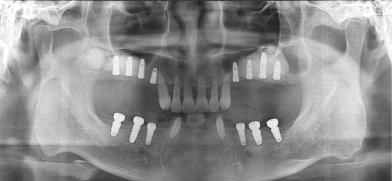
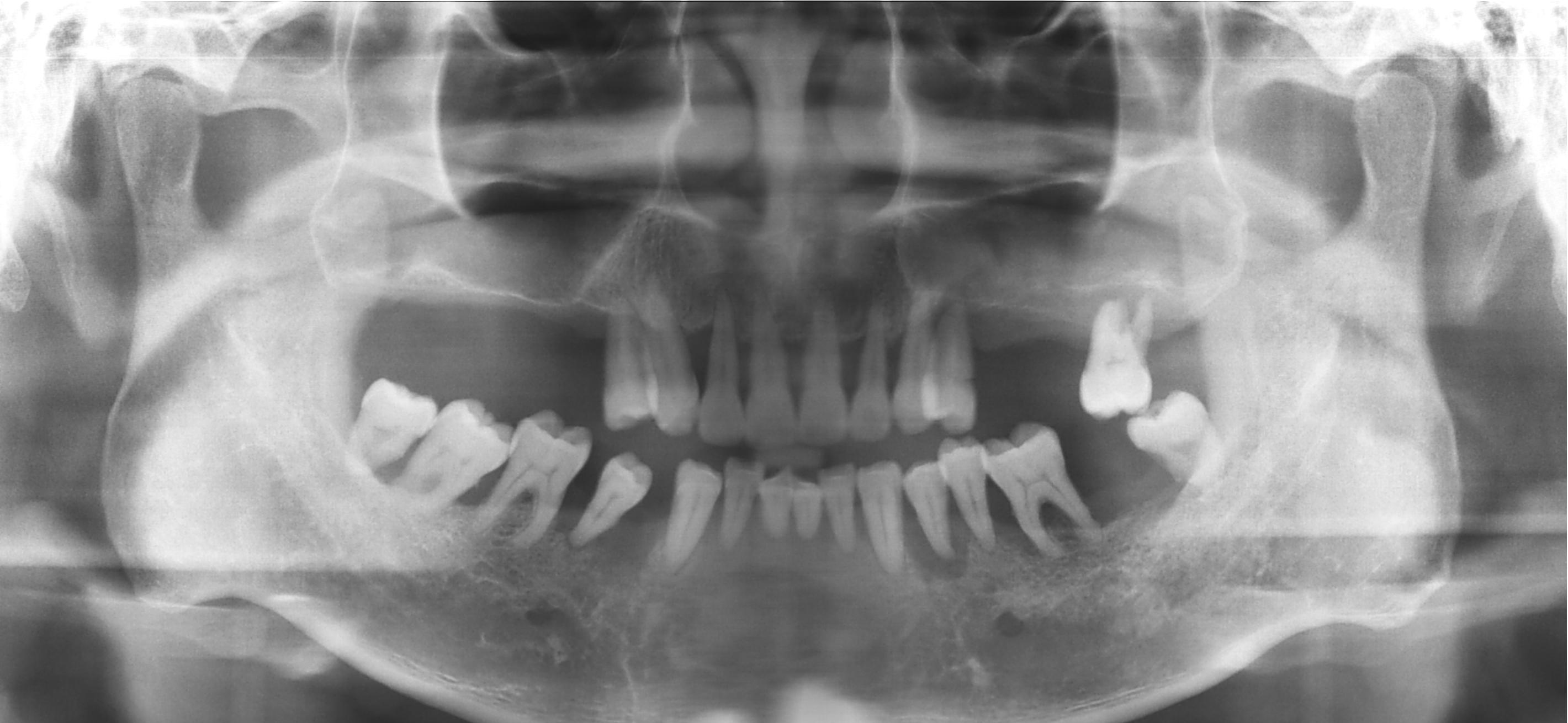
Before
After

상악동거상술 Sinus


중간과정 ▼


071322daa9a0e37ca67a5f2771c29824_1525065297_229.jpg